
Message VOL.9
工学部 電子情報工学科
准教授
石川 雅浩
Masahiro Ishikawa
「医用画像処理研究室」所属。放射線画像処理の研究で培った知識をもとに、分光画像解析を用いたコンピュータ診断支援システムの開発・実用化をめざす。


医用画像の歴史はX線の発見から始まりました。その後、単純X線写真、コンピュータ断層撮影法(CT)、磁気共鳴画像法(MRI)と発展を続け、医用画像を活用したコンピュータ診断支援は、より綿密な診断を可能にしてきました。私はもともと画像処理に興味があり、20年以上この分野全般を専門に研究を進める中で、現在は特にハイパースペクトルカメラを用いた病理画像解析に取り組んでいます。病理診断は、確定診断や治療方針の決定に重要な役割を担っていますが、希望する医師が少ないため、日本では病理医不足が課題となっています。そこで私は、普及が期待されていたWhole Slide Imaging(WSI)を超える詳細な波長分解能を持つハイパースペクトルカメラなら、病理診断における新たなセンシング技術になるのではと考え、研究を進めています。
光学顕微鏡の上部にハイパースペクトルカメラが設置されています。研究室では可視光用と赤外光用の2種類のカメラを導入。染色した病理標本を撮影・解析することで正常な状態からの色分布など微細な変化をとらえることができます。
ハイパースペクトルカメラは、有名なところでは人工衛星の「ひまわり」に搭載されており、「ハイパー=超越した」「スペクトル=波長」を意味します。光を波長ごとに分光して撮影できるため、一般的なRGBカメラが赤・緑・青の波長しか取得できないことに対し、より細かい色の違いをとらえる色彩分解能に優れています。人間の目だと同じ“青”に見えるものでも、ハイパースペクトルカメラで撮影すると違いを認識できるのです。撮影対象の情報をより多く取得できるのでさまざまな領域で活用されており、たとえば車の塗装の均一性を見るためにもこのカメラが使われています。ただ、国内では病理診断にハイパースペクトルカメラ画像を用いた撮影環境、あるいは現実的な撮影システムを構築している研究室が少なく、病理標本の解析法として世界的に注目されつつあるものの、まだまだ黎明期にあるのが現実です。
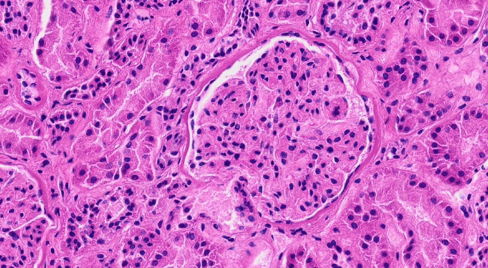
病理組織の標本。HE染色が施されており、細胞核が青紫色に、細胞質や細胞外基質がピンク色に染まっています。
現在の病理診断は、病理標本を染色し、その組織の構造を観察することで診断します。しかし、病理組織の構造は、疾患やがんの種類によって大きく異なり、臓器ごとの専門医がいるほど高度な知識と経験を必要とします。たとえば、HE染色した細胞核が濃く染まる「濃染」という現象は重要な病理所見の一つですが、その“濃さの程度”を客観的に定量化するのは難しく、診断は病理医の経験に依存する部分があります。これに対して、がんなどの異常組織は正常組織と比べて組織の状態が異なるため、染色液の入り具合が変化し、組織を通る光の状況も変わるのではないかというのが私の見解です。従来の組織構造情報に、組織を透過する光という物理的な量を加えることで、より高精度な解析が可能になるのではないかと考えています。
現在は「経験」として扱われている主観的な情報や、まだ明確には情報として認識されていない微細な色の変化にも、診断に役立つ新たな情報が隠されているかもしれません。
近年、病理系の学会でも膨大な標本を集めてAIの活用が検討されていますが、正解データの用意や診断の統一など困難な点があることも明らかになっています。最近では、RGBカメラで撮影した組織の「形態(構造)」をAIが判別し、診断精度を上げる方法も研究されています。しかし、がんの組織構造の変形は非常に多様なため、「形態」情報だけに依存するAIでは、診断精度を100%にすることが難しいのが現状です。病理診断は確定診断の役割を担っており、現代医療にとって治療の方向性を決定する重要な役割を果たしています。病理診断は可能な限り完璧でなければなりません。私は、この病理医の求める「完璧」に近づくための鍵が、物理情報の追加にあると考えています。ハイパースペクトルカメラは、RGBカメラでは捉えきれない組織の「光のスペクトル情報」を詳細に解析できます。これは、従来の「形態」情報では区別できなかった組織の状態の違いを、「物理量」として定量的に捉える試みです。この物理現象に基づくアプローチこそが、AIの精度をさらに高め、病理医の要求に応える新たな診断支援につながる可能性が高いと考えています。
手術や抗がん剤、放射線治療など、現在の医療における治療の選択は、患者さんにとって大きな負担です。また、人によって体質や病気の性質も異なるため、必ずしも全員に同じ治療がベストとは限りません。私は、ハイパースペクトルカメラによって病理画像をもっと詳しく分析できれば、それぞれの患者さんに本当に合った治療を選択しやすくなる「オーダーメイド治療」の一助になると考えています。具体的な取り組みとして、現在は、難病指定されている「IgA腎症」という病気を対象に研究を進め、慶応義塾大学の病理医の先生方とともに、新しい診断に役立つ情報の定量化に取り組んでいます。本研究の成果が、IgA腎症の診断に新たな視点を提供すると同時に、将来的にはさまざまな疾患における治療方針の決定に役立ち、医療の未来に貢献していくことを目指しています。
※掲載内容は取材時(2025年度)のものです。