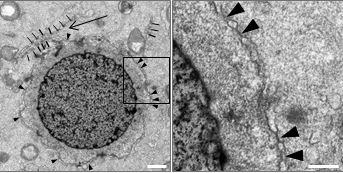
Signs of biological activities of 28,000-year-old mammoth nuclei
-
2019.12.12

-
2019.10.21

People around the world read OA article about 'reviving' cell parts from a 28,000-year-old woolly mammoth
-
2019.06.14

Nuclear Formation Induced by DNA-conjugated Beads in Living Fertilised Mouse Egg (Source: Scientific Reports)
-
2019.04.13

BBC News and BBC World: Fish farming in Japan adopts a new AI and IoT solution
-
2019.03.18

The 90-year-old Japanese scientist still dreaming of resurrecting a woolly mammoth (Source: CNN)
-
2019.02.15
Pirates target prized wagyu beef genes (Source: Nikkei Asian Review)
-
2019.02.07

Buddha beauty treatment available in Nara (Source: NHK World)
-
2019.01.25
Travelers' Treasures / Superior One Gel Essence (Skin care cosmetics) (Source: The Japan News)